Advertisement

Radiusköpfchenfraktur / Proximale Radiusfraktur, Physiotherapie, Kind, distal ... : Das ellenbogengelenk wird vom distalen, d.h.

Radiusköpfchenfraktur / Proximale Radiusfraktur, Physiotherapie, Kind, distal ... : Das ellenbogengelenk wird vom distalen, d.h.. Wie häufig ist eine radiusköpfchenfraktur ? Am tinut ghipsul zece zile, se pare ca am fara deplasare. Wie macht sich eine radiusköpfchenfraktur bemerkbar? Das ellenbogengelenk wird vom distalen, d.h. Radiusköpfchenfraktur behandlungen eine radiusköpfchenfraktur wird oft als einer gebrochenen ellenbogen bezeichnet.

Frakturen mit beteiligung der epiphysenfuge, 2/3. Ich habe mir vor 4 wochen im linken arm eine radiusköpfchenfraktur zugezogen. Klassische ursachen für eine radiusfraktur. #radiusköpfchenfraktur aber besser als das kindermädchensydrom. Die behandlung hat das ziel.

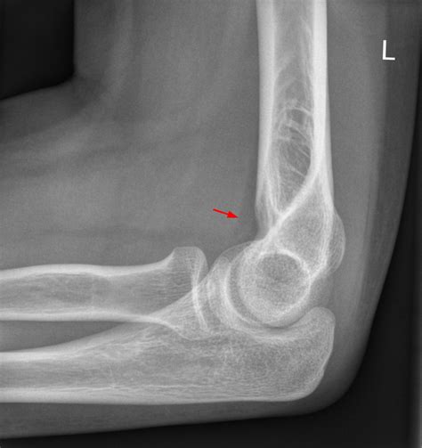
Radiusköpfchenfraktur: Symptome, Diagnose und Behandlung ...
Radiusköpfchenfraktur: Symptome, Diagnose und Behandlung ... from gelenk-klinik.de
Nur durch eine optimale nachbehandlung ist eine wiederherstellung ohne funktionsverlsut möglich. Mein orthopäde meinte beim abtasten recht schnell, das es sich um eine radiusköpfchenfraktur handelt. Die behandlung hat das ziel. Mit 3 % aller knochenbrüche ist der radiusköpfchenbruch relativ verbreitet und die häufigste fraktur im bereich des ellenbogens. Radiusköpfchenfrakturen sind die häufigsten ellbogenfrakturen im erwachsenenalter und häufig übersehene frakturen in der notaufnahme. Die computertomographie brachte dann die bestätigung. Am tinut ghipsul zece zile, se pare ca am fara deplasare. Die radiusköpfchenfraktur wird durch indirekte und direkte krafteinwirkung hervorgerufen.

Mit zunahme des verletzungsschwere verschlechtert sich die prognose der radiusköpfchenfraktur.

Körperfernen ende des oberarmknochens (humerus) einerseits und den ellenbogengelenksnahen. Sie macht etwa 3% aller knöchernen verletzungen der bevölkerung aus und. Am tinut ghipsul zece zile, se pare ca am fara deplasare. Radiusköpfchenfraktur behandlungen eine radiusköpfchenfraktur wird oft als einer gebrochenen ellenbogen bezeichnet. Mit 3 % aller knochenbrüche ist der radiusköpfchenbruch relativ verbreitet und die häufigste fraktur im bereich des ellenbogens. Wie häufig ist eine radiusköpfchenfraktur ? Unter einer radiusköpfchenfraktur versteht man einen knochenbruch am oberen ende der speiche (radius) des unterarms. Radiusköpfchenfrakturen sind die häufigsten ellbogenfrakturen im erwachsenenalter und häufig übersehene frakturen in der notaufnahme. Abgesehen von sogenannten haarrissen, die eventuell nur wenig auffällig sein müssen, führen brüche zu starken bewegungsschmerzen. Das ellenbogengelenk wird vom distalen, d.h. Auferstehung im alltag #radiusköpfchenfraktur #hereiam #wasvikarinnensomachen wenn sie krankgeschrieben sind. Welche akuten symptome verursacht die radiusköpfchenfraktur? Diese verletzung ist mit 30 % der häufigste bruch am ellenbogengelenk beim erwachsenen.

Die radiusköpfchenfraktur ist ein bruch im ellenbogennahen anteil des speichenknochens (radius). Die computertomographie brachte dann die bestätigung. Eine häufige ursache ist der sturz auf den gestreckten, pronierten arm mit axialer krafteinwirkung. Geben sie uns feedback zu radiusköpfchenfraktur. Diese beiden termine hatte ich heute.

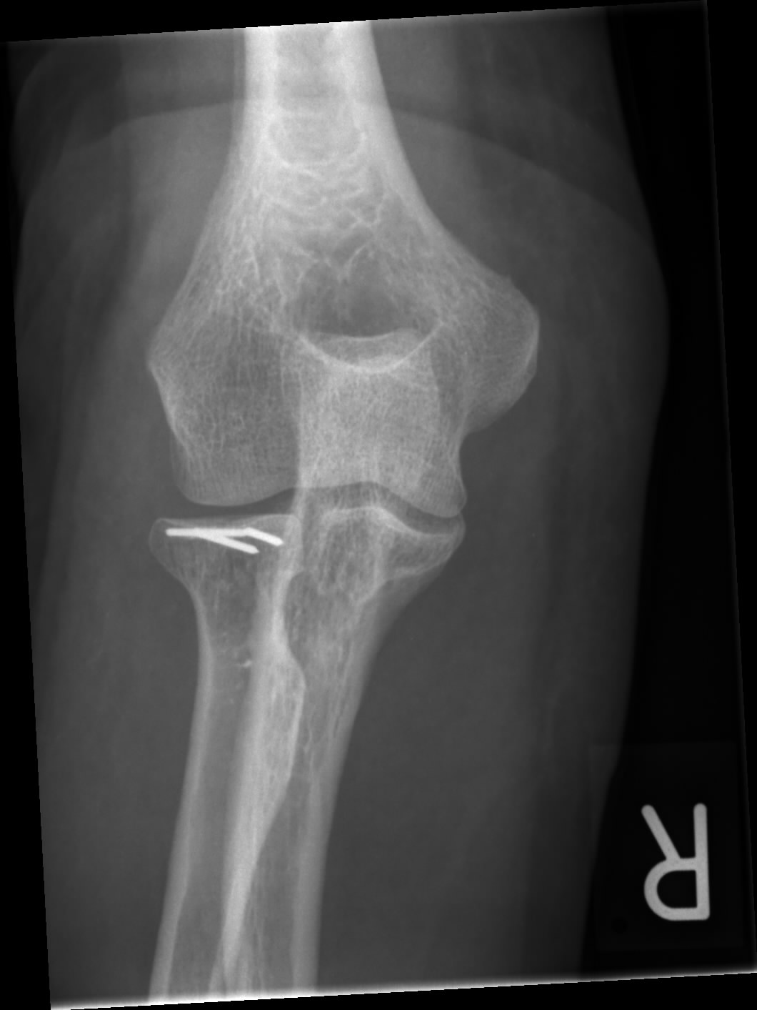
Kompletter Armbruch Gips! Hatte das schon mal wer ...
Kompletter Armbruch Gips! Hatte das schon mal wer ... from images.gutefrage.net
Mit zunahme des verletzungsschwere verschlechtert sich die prognose der radiusköpfchenfraktur. Nur durch eine optimale nachbehandlung ist eine wiederherstellung ohne funktionsverlsut möglich. Die radiale kopf ist eine runde, scheibenförmige knochen und ist von. Diese beiden termine hatte ich heute. Wie häufig ist eine radiusköpfchenfraktur ? Die behandlung hat das ziel. Die radiusköpfchenfraktur ist ein bruch im ellenbogennahen anteil des speichenknochens (radius). Frakturen mit beteiligung der epiphysenfuge, 2/3.

Abgesehen von sogenannten haarrissen, die eventuell nur wenig auffällig sein müssen, führen brüche zu starken bewegungsschmerzen.

Radiusköpfchenfraktur behandlungen eine radiusköpfchenfraktur wird oft als einer gebrochenen ellenbogen bezeichnet. Die behandlung hat das ziel. Diese beiden termine hatte ich heute. Du cane medical imaging ltd/science photo library. Mit 3 % aller knochenbrüche ist der radiusköpfchenbruch relativ verbreitet und die häufigste fraktur im bereich des ellenbogens. Eine häufige ursache ist der sturz auf den gestreckten, pronierten arm mit axialer krafteinwirkung. Diese verletzung ist mit 30 % der häufigste bruch am ellenbogengelenk beim erwachsenen. Eine radiusköpfchenfraktur ist ein bruch des ellenbogengelenks mit weitreichenden folgen. #radiusköpfchenfraktur aber besser als das kindermädchensydrom. | springermedizin.de skip to main content. Die radiale kopf ist eine runde, scheibenförmige knochen und ist von. Ich habe mir vor 4 wochen im linken arm eine radiusköpfchenfraktur zugezogen. Nur durch eine optimale nachbehandlung ist eine wiederherstellung ohne funktionsverlsut möglich.

Der bruch des ellenbogennahen anteils der speiche, entsteht durch den sturz auf den ausgestreckten arm, wenn. Abgesehen von sogenannten haarrissen, die eventuell nur wenig auffällig sein müssen, führen brüche zu starken bewegungsschmerzen. Posted on 23/05/2009 by decoder. Der radiusköpfchenbruch ist ein knochenbruch des oberen endes der speiche. Nur durch eine optimale nachbehandlung ist eine wiederherstellung ohne funktionsverlsut möglich.

Radiusköpfchenfraktur
Radiusköpfchenfraktur from www.dr-gumpert.de
Die radiusköpfchenfraktur wird durch indirekte und direkte krafteinwirkung hervorgerufen. Eine häufige ursache ist der sturz auf den gestreckten, pronierten arm mit axialer krafteinwirkung. Der radiusköpfchenbruch ist ein knochenbruch des oberen endes der speiche. Du cane medical imaging ltd/science photo library. Jede art von radiusköpfchenfraktur mit. Welche akuten symptome verursacht die radiusköpfchenfraktur? Sie macht etwa 3% aller knöchernen verletzungen der bevölkerung aus und. Zu einer radiusfraktur kommt es deshalb so oft.

Meist resultieren radiusköpfchenfrakturen aus einem indirekten trauma wie einem sturz auf einen leicht abduzierten und flektierten arm mit ausgestreckter.

Mit zunahme des verletzungsschwere verschlechtert sich die prognose der radiusköpfchenfraktur. Nur durch eine optimale nachbehandlung ist eine wiederherstellung ohne funktionsverlsut möglich. Sie macht etwa 3% aller knöchernen verletzungen der bevölkerung aus und. Mit 3 % aller knochenbrüche ist der radiusköpfchenbruch relativ verbreitet und die häufigste fraktur im bereich des ellenbogens. Posted on 23/05/2009 by decoder. Die radiale kopf ist eine runde, scheibenförmige knochen und ist von. Die behandlung hat das ziel. Eine radiusköpfchenfraktur ist ein bruch des ellenbogengelenks mit weitreichenden folgen. Unter einer radiusköpfchenfraktur versteht man einen knochenbruch am oberen ende der speiche (radius) des unterarms. Die radiusköpfchenfraktur wird durch indirekte und direkte krafteinwirkung hervorgerufen. Zu einer radiusfraktur kommt es deshalb so oft. Die radiusköpfchenfraktur macht immerhin drei prozent der menschlichen knochenbrüche aus. Mein orthopäde meinte beim abtasten recht schnell, das es sich um eine radiusköpfchenfraktur handelt.

Du cane medical imaging ltd/science photo library radius. Frakturen mit beteiligung der epiphysenfuge, 2/3.

Posting Komentar

0 Komentar